“Just put your head down, keep fighting, and take things one day at a time” – words of advice that Ethan Davis shares for others who have received a difficult diagnosis. After being diagnosed with a rare form of brain cancer, Ethan is alive and thriving thanks to new targeted therapies offered at Atrium Health Levine Cancer and the collaboration of medical teams across Atrium Health.
In 2020, what started as a regular drive quickly felt very different to the then 23-year-old.
"I was on the way to work and I realized my left side was going numb; it started in my leg and face,” says Ethan.
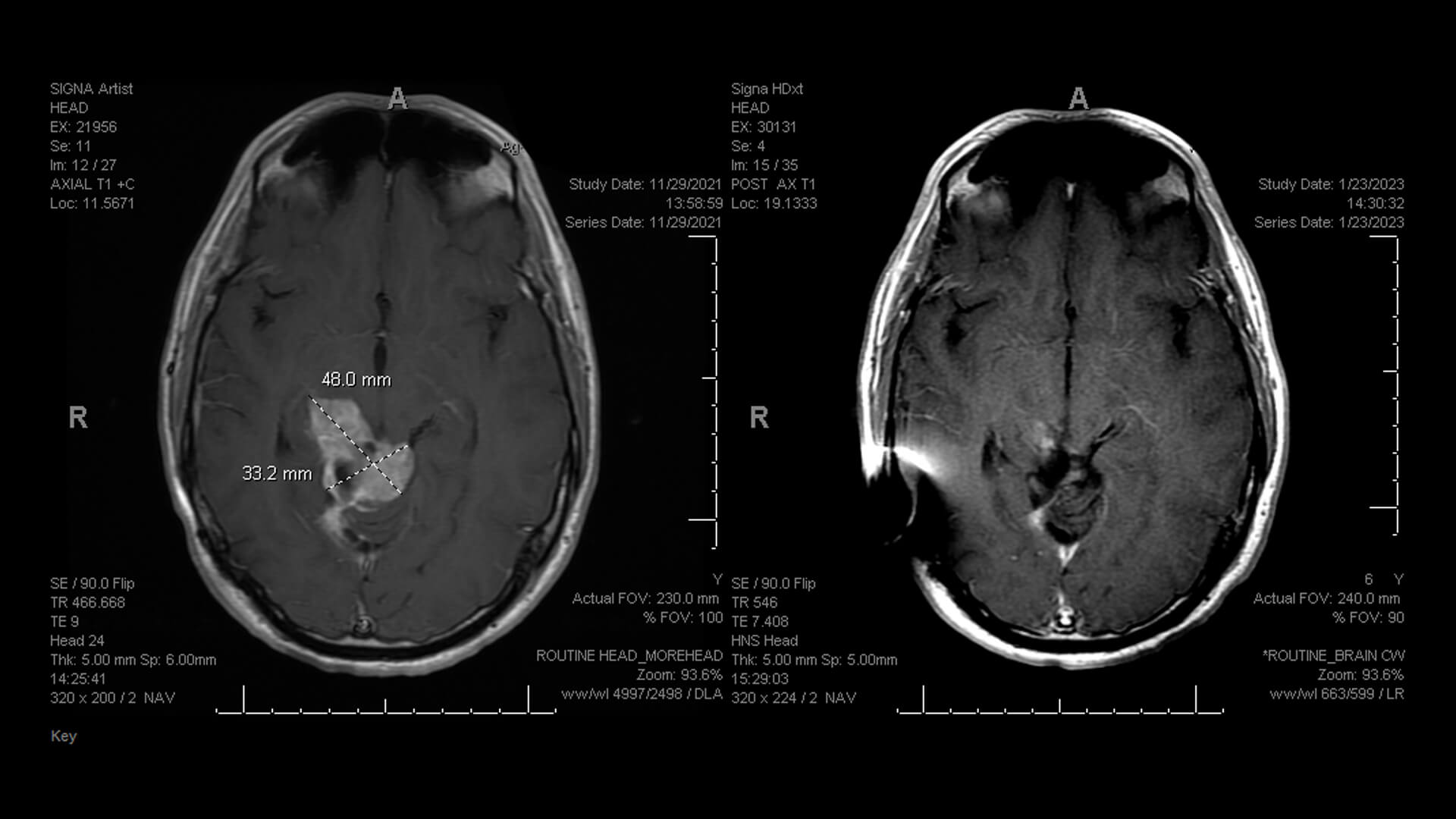
He thought he was having a stroke, so he pulled over and called 911. Emergency teams transported Ethan to Atrium Health Carolinas Medical Center, where he received a CT scan. The scans revealed a complex tumor in Ethan’s brain and upper spinal cord: what would ultimately be shown to be a diffuse cancerous astrocytoma with a rare mutation. As a first step in his care, Ethan would need surgery to remove as much of the lacrosse-ball-sized tumor as possible. He turned to the team of specialized experts at Atrium Health Neurosciences Institute for help.
Complex Procedure Delays Tumor Growth
In October 2020, Dr. Anthony Asher, president of Atrium Health Neurosciences Institute and surgical director of the neuro-oncology program at Atrium Health Levine Cancer, along with Dr. Scott Wait, medical director of pediatric neurosurgery at Atrium Health Levine Children’s Hospital, performed an operation which involved opening a small window through Ethan’s skull and using advanced technologies to remove the tumor. During the intricate procedure, a multi-disciplinary team removed 90 percent of the tumor, an impressive feat given the location and type of cancer.
“Given our large clinical volumes, our talented multi-disciplinary team, and our elemental commitment to continuously improve care and advance the science of brain tumor therapies, we are uniquely capable of treating the most complex and challenging cases in neuro-oncology, including Ethan’s case,” says Asher.
After surgery, Ethan recovered at Carolina Medical Center’s neurosurgery intensive care unit (ICU) and headed to Atrium Health Carolinas Rehabilitation. The rehabilitation team worked with him for weeks as he relearned to walk and eat, working daily to perform basic tasks. During his recovery, a love for birdwatching – a hobby that began in college and continues with his mom, Angie – brought comfort. 
“Being able to birdwatch throughout my treatments gave me strength, despite challenges with my physical abilities during recovery,” says Ethan.
After relearning essential functions, the Neurosciences Institute team referred Ethan to the nationally renowned team of brain cancer experts at LCI for chemotherapy and radiation treatments. A multi-disciplinary team comprised of Dr. Ashley Sumrall, section chief of neuro-oncology; Dr. Stuart Burri, chairman of radiation oncology; and – in Ethan’s words – “basically the entire seventh floor of Levine Cancer Institute II” - supported Ethan through it all.
New Targeted Therapies ‘Melt Tumor Away’
Nearly two years after Ethan’s initial medical care began, regular scans showed that the tumor had stopped responding to traditional therapies. Instead, the tumor had spread to Ethan’s entire spinal cord. Dr. Sumrall recommended two new targeted therapies that had just become available outside of a clinical trial setting. Ethan started Dabrafenib and Trametinib, medications that help stop tumor growth by blocking different growth-promoting signals in tumor cells.
Ethan’s mom, Angie Davis, immediately noticed a change in Ethan.
“The tumor just melted away on the scans,” says Angie.
Within two months, his scans looked significantly better. 
“Ethan’s response to new therapies has been extraordinary; it’s now difficult to notice the tumor on his scans,” says Sumrall. “At Levine Cancer, we are committed to finding the latest treatments close to home that give patients the best chance at a longer, healthier life."
Through it all, Ethan leaned on friends and family for support. Additionally, he’s utilized services through Levine Cancer’s supportive oncology program, including acupuncture and therapy.
"Dr. Sumrall has been outstanding from day one, I felt very comfortable, confident and hopeful from the beginning. A lot of that is owed to her and my family for being supportive,” says Ethan.
Ethan continues to receive scans at Levine Cancer every two months to monitor his tumor. And when the weather and location are just right, he’s sure to be outside, walking, listening and watching for birds.
Learn more about how Levine Cancer specialists are giving patients the best chance at longer, healthier lives: https://bit.ly/3CJsR4B.